平昌县人民医院神经外科破局“生命禁区”,为70岁老人摘除复杂颅脑动脉瘤
时间:2025-03-21 | 浏览:2397 | 来源:神经外科 | 作者:祝立雪
这是一场与死神赛跑的较量,一次跨越五年的生命守护。当一颗深藏后颅窝的“不定时炸弹”压迫脑干、吞噬生存希望,是选择放手一搏?还是向命运妥协?平昌县人民医院神经外科团队,用一场跨越1825天的生命守护战给出了最温暖的答案。

生死抉择:五年随访中的隐忍与坚守
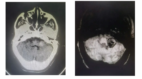
2020年,一次偶然检查,揭开了这场无声战役的序幕——七旬老人后颅窝发现不明占位,紧贴脑干,形如“刀尖起舞”。多家医院评估手术风险极高。当时老人家无身体不适,考虑手术风险高,一直随访观察。 直至今年2月,王奶奶出现了严重头痛,伴随着视力模糊和频繁呕吐。这些异常症状迅速引起了家人的警觉,紧急前往医院就诊。复查头颅MRI检查颅内占位较起初增大约3倍,约3✕4cm大小,外侧压迫后组颅神经舌咽致无法吞咽食物,压迫迷走神经致反复呕吐,内侧压迫脑干致无法行走。 面对如此严峻的情况,患者家属与医生多次深入沟通,最终决定在我院神经外科进行手术治疗。这是一场与时间赛跑的战斗,也是一次对医疗技术与团队协作的极大考验。
团队协作:精密方案护航“生命禁区”
在仔细研究了患者的病情资料后,深知这是一场艰巨的挑战。我院神经外科团队没有退缩,多次进行病例讨论和手术方案模拟。经过反复权衡和论证,决定行显微镜下左侧PICA巨大血栓性动脉瘤切除夹闭术+术中ICG造影术+硬脑膜修补术+骨瓣还纳术。

科室MDT多科讨论形成一致意见:
1、考虑后颅窝PICA(小脑后下动脉)巨大血栓性动脉瘤可能性大,同时不排除动脉瘤合并独立肿瘤可能,手术切口选择远外侧入路,充分显露左侧后颅窝;
2、术前安置胃管,充分营养支持,改善身体状况提高抵御手术风险能力;
3、术前完善脑血管造影,了解颅内血管状态。术前造影发现左侧小脑后下动脉P3段动脉瘤动脉瘤,进步证实血栓性动脉瘤可能。
无影灯下的毫米之战:勇气与仁心交响
手术中,他们精准地分离着动脉瘤周围的组织,每一根血管、每一条神经都不容有丝毫损伤。经过长达4小时的艰苦奋战,完整分离动脉瘤壁与后组颅神经、脑干、小脑粘连完整切除,夹闭残留动脉瘤颈,水密缝合硬脑膜,手术顺利。

重生之路:信任浇灌的生命之花
目前患者已能自主进食,并在家人搀扶下重新学习行走。“从绝望到希望,是医生们用专业给了我们第二次拥抱的机会。”家属含泪说道。 五年守护见证医者仁心,毫米之间彰显生命力量。这场跨越五年的生命奇迹,离不开神经外科、影像医学科、检验科、功能科、彩超室、手术室和麻醉科等科室的多科协作;离不开患者坚定的信念、家属的支持、专家团队的精湛医术和医护人员的细心守护。

颅内动脉瘤虽然凶险,但只要我们提高警惕,通过早期筛查、科学治疗和规范管理,就能够显著降低其破裂的风险。如果突然出现剧烈头痛等可疑症状,一定要立即就医,抓住黄金救治时间窗,让这颗 “不定时炸弹”变成“哑弹”。