平昌县人民医院开展腹腔镜下子宫侧腹壁悬吊术——拯救“掉下去”的盆腔脏器
时间:2025-03-19 | 浏览:3091 | 来源:妇产科 | 作者:祝立雪
下面有东西掉出来,感觉下腹坠胀,尿频、尿急、尿不尽......这些难以启齿的症状,可能是子宫脱垂的信号。
子宫脱垂作为一种严重影响中老年女性生活质量的盆底功能障碍性疾病,传统治疗方法往往存在创伤大、恢复时间长、复发风险高等问题。近日,我院妇科团队成功完成一例腹腔镜下子宫侧腹壁悬吊术,这一里程碑式的突破,标志着我院在女性盆底疾病治疗领域迈入了新的阶段。

患者苏女士,52岁,因“发现外阴肿物脱出4年”于2025年02月21日入院。平时用力后自觉外阴肿物脱出逐渐增大,伴咳嗽、稍用力、行走后出现尿液流出,不能自控。专科查体:部分阴道前壁突出于阴道口外,宫颈距离处女膜缘小于3cm,阴道内可见宫颈,子宫:前位,偏大,形态q欠规则,子宫前部近宫颈部扪及一大小约3x3x3cm结节物;POP-Q评分:gh:3cm;pb:2.5cm ;Aa:+1cm;Ap:-1cm;Ba:+2cm;Bp:-1cm;C:+3cm;D:+1.5cm;TVL:7.5cm。经过检查,评估病情后诊断盆腔器官脱垂。
II度阴道前壁脱垂(POP-Q评分);
I度重子宫脱垂(POP-Q评分);
I度阴道后壁脱垂(POP-Q评分);
子宫肌瘤;
压力性尿失禁,宫颈细胞学检查及HPV检查均未发现异常;

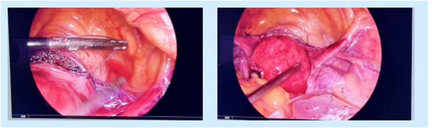
行尿动力学检查排除尿道狭窄、严重的神经原性尿失禁后,经科室讨论手术多种手术方式,并结合患者的病情及意愿,选择最佳的手术方式,手术由吴晓玲主任医师主刀,肖华琼主任医师,吕奉佳主治医师组成手术团队,在麻醉师李谨君,手术护士的密切配合下为患者实施全麻腹腔镜下行子宫肌瘤挖除术、子宫侧腹壁悬吊术、阴道前壁修补术,手术过程顺利。术后在科室医护团队精心护理下,术后8小时恢复正常饮食活动,术后留置尿管三天,5天痊愈出院。

子宫侧腹壁悬吊术主要用于治疗盆腔器官脱垂,特别是子宫脱垂及其伴随的阴道前后壁膨出、膀胱膨出等症状。Ⅱ-Ⅲ度膀胱脱垂:当膀胱脱垂至阴道口外或接近阴道口,影响患者生活质量时,可以考虑此手术。Ⅱ-Ⅲ度子宫/穹窿脱垂:子宫或宫颈部分或完全脱出阴道口,导致患者感到不适或影响生活,是此手术的主要适应症。Ⅱ-Ⅲ度膀胱合并子宫/穹窿脱垂:同时存在膀胱和子宫脱垂的患者,此手术可以一并解决。盆底脏器脱垂的年轻患者:对于年轻而希望生育、有性生活需求的女性,此手术可以保留子宫,维持正常的盆底结构和功能。无需生育的中老年患者:对于不需要再生育的中老年人,若子宫脱垂且阴道前后壁膨出不严重者,此手术是一种有效的治疗选择。

优点:
1. 保留子宫:子宫侧腹壁悬吊术能够保留子宫,维护女性的生理结构和功能,对于希望保留子宫的患者来说是一个重要的优点。
2. 微创性:手术通过腹腔镜进行,避免了腹部大切口,减少了手术创伤和出血,术后疼痛轻,恢复快。
3. 疗效确切:手术通过生物网片将脱垂的子宫向前向上提拉,紧贴腹壁,恢复子宫的正常解剖位置,疗效确切,术后复发率低。
4. 安全性高:手术固定部位远离髂外血管和下腹壁血管,降低了手术风险,避免了血管、神经、肠损伤等并发症。
5. 改善生活质量:手术不仅治疗了子宫脱垂,还兼顾治疗了阴道前后壁膨出、膀胱膨出等症状,改善了患者的排尿、排便和性功能障碍,提高了生活质量。
6. 手术并发症少:由于手术创伤小、操作简单,术后并发症少,患者恢复快,住院时间短。
7. 符合生理规律:手术将子宫和阴道轴位于前位,这更符合生理规律,有助于维持正常的盆底结构和功能。
8. 预防医源性压力性尿失禁:理论上,手术引起的阴道前壁向上牵引力,也有助于治疗前腔室脱垂,能够预防医源性压力性尿失禁的发生。
在女性的一生中,盆底健康至关重要,在发现有盆底功能障碍性疾病的相关症状时立即就医、及时诊断、尽早治疗,以免疾病影响到您的身心健康进而影响到生活及工作的质量。